緑内障とは
日本人の中途失明原因の第1位が緑内障です。
緑内障は、何らかの原因で眼球と脳の間の情報の橋渡しをしている視神経が障害され、視野に異常が起きる病気です。
2002年の調査では「40歳以上の20人に1人が緑内障」であることがわかりました。私達は普段は両眼で見ているため、視野が欠けても自覚症状がなく気付きません。また神経細胞は一度障害されると再生することはありませんので、一度障害された視野は回復することができません。そのため早期発見が非常に重要な病気です。
緑内障の分類
原因や眼中の水(房水)の出口である隅角の形態や原因により分類されますが大別すると下記の通りとなります。
原発開放隅角緑内障
初めのうちは自覚症状がないことが多く、頭痛や肩こりの症状がある場合があります。眼内の水(房水)の出口である線維柱帯が目詰まりを起こし、ゆっくりと眼圧が上昇し進行していく慢性の病気です。このうち眼圧が正常範囲内である場合を正常眼圧緑内障と呼びます。現在日本で最も多いタイプの緑内障です。
原発閉塞隅角緑内障
急性と慢性があり、急性の場合、急激な頭痛、眼痛、充血の症状があります。眼内の水(房水)の出口の隅角が狭いことが原因で生じます。
続発緑内障
ステロイドの使用やぶどう膜炎・網膜剥離・眼外傷などの眼の病気が原因なり眼圧が上昇することにより発症する緑内障です。
発達緑内障
生まれつき角膜や隅角の形成異常などが原因となり生じる緑内障です。
眼圧とは?
眼内には房水が流れており、眼の組織に栄養を与えています。
房水は毛様体で産生され、線維柱帯から眼の外に出ていきます。
眼圧はこの房水により調整されています。
緑内障の治療では房水の産生量を抑えたり、線維柱帯から流れやす
い状態を点眼や手術で作り眼圧を下げます。

緑内障の症状について
緑内障の症状には、急激に眼圧が上昇し、眼痛や頭痛、吐き気などの激しい症状を起こすもの(急性緑内障)と、ほとんど症状がないまま、少しずつ見えにくくなっていき病気が進行してしまうもの(慢性緑内障)があります。
視野障害の程度

緑内障の原因は?
緑内障の確実な原因は分かっておらず、「眼圧」が上昇した状態が続くと、視神経が萎縮され、異常が起こるとされています。また、眼圧が正常な場合でも「視神経が弱い」、「血流が少ない」などいろいろな原因が考えられていますが、どれも確実な証拠は見つかっておりません。
緑内障の検査
緑内障は下記のような検査を行い、診断します。
眼圧検査
眼球に小さな圧力を加えて、その力に反応する角膜の変形度を眼圧として測る検査です。正常な眼圧は10~21mmHgです。眼に空気をあてて測る非接触型と、角膜の表面に測定器具を当てて測定する接触型があります。眼圧や視野の結果は電子カルテと連動するファイリングシステムでデータ管理され、治療での眼圧の推移を確認し把握します。

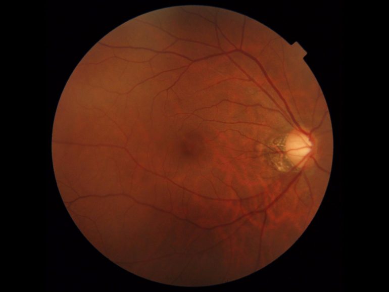
眼底検査・視神経乳頭解析
視神経の状態を調べるために視神経乳頭を観察します。緑内障の場合、視神経乳頭の凹みが大きく、輪郭もいびつな形になります。早期発見には3次元光干渉断層計(OCT)による網膜神経線維層の厚みの計測が最も有用で視神経乳頭形状解析と共に詳細に解析します。

視野検査
目を動かさずにどれくらいの範囲まで物が見えるのかを検査します。
視野欠損(見えない部分)を把握し、緑内障の進行の有無を判定します。判定結果は電子カルテと連動するファイリングシステムでデータ管理され、解析ソフトウエアにて進行の有無を判定します。

視野障害の進行について
-
初期
視野の中心をやや外れたところに暗点が出来ます。これは自分で異常に気づくことが出来ません。
-
中期
初め暗点が拡大し、視野の欠損が広がり始めます。 片方の目のみであれば異常に気づかないことがあります。
-
末期
ケ視野欠損はさらに進み、視力低下もきたし、日常生活に支障をきたします。 放置すると失明の恐れがあります。
隅角検査
高眼圧の診断や、どの種類の緑内障かを調べます。
検査用のコンタクトレンズを使用し、隅角の精密検査を行います。
電子カルテによる時系列解析
画像ファイリングシステムにてカルテで眼圧や視野が時系列で確認できます。
このシステムでは緑内障が進行しているのかどうか、眼圧は下がっているのかなど治療効果がデータとして提示されます。患者様にも提示しご自分のご病状が確認できます。
緑内障の治療方法
一度傷んだ神経は元に戻らないため、緑内障を完治させることはできません。
緑内障の治療法としては、これ以上ダメージを受けないよう、眼圧を下げることが基本となります。
眼圧を下げるためには目薬、レーザー治療、手術などの方法があります。
点眼薬による治療
点眼薬は数種類あるため、様子を見ながら患者さまにあう目薬を探します。
近年では複数の種類の作用が一緒になった種類の点眼薬も増えており、一度にする目薬の回数が少なくなり患者さまの精神的な負担も少なくなってきました。
点眼薬では眼圧が下がらない、副作用があり点眼できない、点眼薬を使用しても緑内障が進行するなどの場合は、レーザーや手術による外科的治療を行います。
レーザー治療
レーザー虹彩切開術(LI)
レーザー光線で茶目(虹彩)の根元に0.3mm程度の穴を開けます。急性緑内障発作を生じている場合や、急性緑内障発作を起こす可能性の高い眼で行います。緑内障発作に対しては水晶体摘出手術を行う場合が良い場合もあります。

画像brandywineeye.comから引用
選択的レーザー線維柱帯形成術(SLT)
線維柱帯に低エネルギーのレーザーを照射し、房水排水を改善させ眼圧を下降させます。 同様の方法としてALT(アルゴンレーザー線維柱帯形成 術)という治療が昔はありましたが組織破壊してしまうという欠点がありました。SLTの最大の特徴はメラニンだけを標的とし、組織破壊を伴わないという点で合併症のリスクも非常に少なく、副作用もまずありませんし繰り返しおこなうことも可能です。
2019年に最も評価の高いとされる医学誌ランセット誌から、選択的レーザー線維柱帯形成術が従来の点眼治療と治療成績が同等で費用効果が高かったという内容が発表され、安全面・コスト面でも注目されている治療法です。
ただし欠点とした治療効果には個人差があり、7割の方には効果的に働きますが、3割の方は治療に反応せず、眼圧が下がらないことがあります。

画像 sanantonioeyeinstituteから引用
選択的レーザー線維柱帯形成術(SLT)が適している方
- 点眼治療のみで十分な効果が得られていない方
- 妊娠・授乳中で点眼治療ができない方
- 複数の点眼治療が困難な方副作用がある方
- 正常眼圧緑内障で眼圧を下げる必要がある方
- 原発開放隅角緑内障、高眼圧症、落屑緑内障、ステロイド緑内障など高い効果を望めそうな方
緑内障手術
線維柱帯切開術(マイクロフックトラベクロトミー)
眼内から線維柱帯を切開し房水の流れをよくします。点眼麻酔下で特殊なプリズムレンズを用い隅角を観察し0.2mm程度の器具 (kahook dual blade ・谷戸氏ab interno トラベクロトミーマイクロフック) で線維柱帯を120度程切開します。手術時間は5-10分程度です。線維柱帯が切開されると必ず出血を生じますので、術後数日かすんで見えることがありますが、ほとんどは数日で回復します。
手術の流れ
術前検査
(予約日をお取りします。)
- 手術に必要な詳細な検査、血液検査、アレルギーの確認などを行います。
- 手術についての説明、手術合併症、術前・術後の点眼と注意事項などをご説
明します。(可能な限りご家族とご一緒にお越しください。)
手術前
- 手術前の点眼薬
手術予定日の3日前から抗生物質の点眼薬をさします。抗生物質を点眼することで、眼の表面にいる細菌を減らし、安全に手術を行うことができます。 - 洗髪について
術後の状態が良ければ翌日からお風呂に入ることはできますが、洗髪はしばらく控えなければいけません。 - 服用薬について
特別な指示がない限りは通常通りに服用できます。
手術当日
前処置も含め1時間程度で終わります。集合時間に来院ください。
当日の食事は軽目にしてください。(お茶やコーヒーなどの水分の過剰摂取は控えてください)
前処置
- 手術に必要な点眼や血圧測定などの準備を行います。
- 手術準備室に移動し、手術の順番をお待ちいただき、順番が来たら手術となります。
手術
点眼麻酔を行い、次いで洗眼を行います。局部麻酔ですので、手術中も周りの声ははっきり聞こえますし、意識もあります。手術は仰向けに寝た状態で、顔にはカバーをかけて行いますので何かありましたら会話ができます。痛みはほとんどありませんが、痛みを感じるときは麻酔の注射を追加します。
手術後~帰宅
- 術後の生活や術後点眼についてご説明し緊急用携帯電話番号をお渡しします。
- 手術後は、全身状態の安定を確認し、会計が終わった後、帰宅していただきますが、眼帯をした状態になりますので、車の運転は控えてください。
手術翌日
- 朝9時までに来院ください。
- 眼帯は検査時にスタッフがはずします。
- 診察終了後から、手術後の目薬を(3種類、1日4回と2回)手術した眼に点眼してください。
手術後
翌日以降
- 指示された日に受診されてください。
- 手術後の目薬を点眼してください。
※術後の注意点(手術前、術後にもご説明します。) - 術後は目を強く押さえることは控えてください。
- 洗顔、入浴、洗髪については医師の指示に従ってください。
- 決められた回数の点眼を必ず継続してください。
費用とお支払方法
緑内障のレーザー・手術費用について
治療は全て保険診療で行い、手術の種類によって料金が変わります。
- 支払った金額が一定の規定額を超えていれば、還付金として戻ってきます。
- 加入している生命保険の種類によっては、「手術給付金」が支給されます。
1ヶ月の医療費が高額になる場合は、高額医療保険が使える場合があります。詳しくはスタッフまでお問い合わせ下さい
当院の手術室
当院の手術室は最先端の手術器機とクリーン設備を備えており、一般の白内障を初め網膜硝子体疾患などに対して高い専門技術をもって手術を行っていります。
安全第一の手術を行うために、機器の管理、感染予防などの対策はもちろんのこと、埃や塵を除去する特別な換気システムでウイルスなどの感染予防をしっかり行うことで清潔な手術室環境を保っております。










